Traumatic Brain Injury (TBI) is an invisible but widespread epidemic. Over 27 million people worldwide suffer a TBI each year—many due to motor vehicle accidents (MVAs), falls, or blunt-force trauma. The vast majority of mild TBIs, such as concussions, go undiagnosed because symptoms like headaches, fatigue, mood changes, or memory issues can take days or weeks to emerge.
Yet these hidden brain injuries can lead to long-term health risks:
- Chronic pain
- Depression or anxiety
- Cognitive decline
- Epilepsy or even dementia
“Even a minor head injury can trigger serious problems if untreated,” says Dr. Dariusz Nasiek, MD, pain specialist and TBI expert.
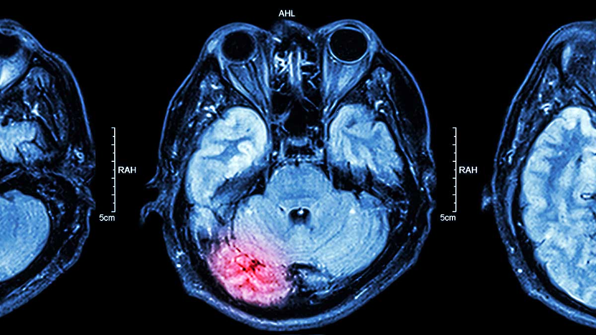
Advanced Evaluation for Post-Accident Brain Injuries
At Allied Neurology in Englewood, NJ, we use cutting-edge tools to detect brain trauma early, even when conventional ER tests show nothing:
- Blood biomarkers (GFAP, UCH-L1)
- Diffusion Tensor Imaging (DTI) MRI
- Ambulatory EEG (48–72 hours) for seizure or abnormal brainwave detection
Don’t Ignore These TBI Symptoms After a Crash:
- Persistent headaches, dizziness, or nausea
- Disorientation or memory lapses
- Mood swings, anxiety, or depression
- Sensitivity to light or sound
- Balance problems or blurred vision
Early Diagnosis. Tailored Treatment. Long-Term Relief.
At Allied Neurology, we provide:
- Free consultations for accident victims
- Free MRI reviews
- In-office neurological exams & ultrasound imaging
- Multilingual staff and culturally competent care

